不思議な題名となりましたが、その通りの症例患者さんです。年始は忙しく、毎年翌月に長期の休暇を取られて何点かの手術を受けに来られるのです。私共美容医療の機関は2月は割と減る時期なのです。いわゆるニッパチ景気は市井の会社の忙しい時期なので、不急の医療である美容外科には、逆に来院が減るのです。
その中でやはり不要不急の?仕事についている本症例の患者さんは、この日を待つかのように来院されました。毎年手術月として下さいます。毎年?!。何とも嬉しい女子ですが、目的があります。一流の社会人は一流の容貌を求めます。その結果に満足され、豊かな人生を過ごす為です。豊かさとは経済的だけでなく、内面的に豊かな心持ちを求めます。それに若さが社会的に優位性を保持する立場です。昨年など患者さんは「母と歩いていたら、会った人から『お孫さんと一緒に行動していていいですねえ~!。』と言われました。」と喜んでました。
ただしこの様な姿勢に応えられるのは、私が優位です。私の心意気を理解された患者さんは、心酔して下さいます。私は37年前に医師となり、形成外科・美容外科を志しました。いや、父に宣言したのはK.高校入学時でした。さらに幼少時に父に仕込まれました。二人で自動車に乗っている際父に、「あそこの横断歩道を渡っている女性を見ろ!。あれは美人だ!。目に焼き付けとけ!。」と美容の素養を植え付けられました。美容形成外科医となってからは、「内面も外面も見ること!、社会的な適応をよく吟味すること!」と、人を診ることを教育されました。病気を診るだけでなく、人を診る。社会の中の人を診るのが大医とされるのは、紀元前に中国の諺にあります。
だからと言って、手術を計画するのは私の優位性ですが、診療と手術の技術は”直美”には身に着けられません。形成外科医局で知識と技術を磨き、美容外科の診療での手術経験がものを言います。私は37年間研鑽してきて、まだまだ続けられます。そんな心意気を買って、皆さんが来院されるのです。もちろんブログで画像だけでなく真面目に説明していいるのも好評です。本症例の患者さんも、今回ブログに覧られる手術を「これ私にも適します?。」と訊かれ、私も真剣にじっくり覧て診察して手術を選びました。
今回はいくつかの部位の手術を、分けて載せる事になりました。でも前振りはコピペです。
症例は49歳女性。昨年夏に来院された際には既に、来年の初めには下眼瞼の手術を予定したいと仰っています。咋秋にはターキーネックの改善をも希望されています。11月には鼻尖のDroopingに対して改善を希望され、私はプロテーシスで持ち上げるプランを提示しました。
その際下眼瞼に付いては、13年前に脱脂した後に段差が出来た。少なくとも触れると訴えられました。筋皮弁法で引き上げて平坦化するプランを提示しました。
その後もほぼ毎月、エステ的美容医療に通っていましたが、私は診察していませんし、コメントしていないで年明けに手術を予定しました。
画像は経時的に載せます。
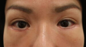
手術前の両側眼瞼部正面像です。下眼瞼の段差は正面像では判りにくいのですが、触れます。
近接画像でよく診ると、段差があります。瞼頬溝も内側半はあります。バギーアイは診られません
手術直後です。手術は、皮膚切開後、眼輪筋下で眼窩下縁まで剥離し、眼輪筋を10㎜引き上げて、眼窩骨外縁の骨膜に縫合しました。筋は折り畳まないで一部は切除してその上に皮膚を戻し座位で確認してから、最大6㎜切除して縫合しました。
ご覧の様に、眼球結膜が一部赤くなりました。擦過が原因と考えました。平坦化は明らかです。眼瞼は外反していませんが腫れで引かれてわずかに浮いています。Scleral showと言います。
翌日診ると、右眼球結膜の外側に血種を生じました。視力に影響は来していません。血腫は吸収されます。2週間かかるかも知れません。
術後4日で他の手術時に撮影しました。腫脹は亢進しました。いつも私が言う通り、48時間がピークでした。患者さんは「手術は何回も経験していますから、理解しています。」と達観していました。さずが一流の女性です。
術後1週間で全抜糸しました。結膜下血腫は吸収されつつあります。腫脹は軽快中です。
創痕は抜糸したら目立たなくなります。
術後11日でも撮影しました。下眼瞼は平坦化しています。
創痕はさらに目立たなくなりました。結膜下血腫は吸収されました。早い!。身体が若い!。
術後2週間です。遠近撮りました。
近接画像では平坦化が判ります。
当院では、厚生労働省より改定され施行された省令「医療機関ホームページガイドライン」に遵守しホームページに加筆を行っています。
施術のリスク・副作用について・麻酔薬にて、アレルギー反応を起こす場合があります。その場合は適切な処置を行います。・腫れは個人差がありますが、手術直後から少し腫れがあり、翌日がピークで徐々に引いていきます。目立つほどの大きな腫れは1~2週間程度です。・術後のむくみや細かな左右差の改善には、3ヶ月程度かかります。・内出血が起こった場合は完全にひくまでに2週間程度かかることがあります。・感染予防のため、抗生剤を内服していただきます。・抜糸までの間、鼻下を伸ばす表情はお控え下さい。・口唇部の違和感は、2~4週間程度かかります。・手術後2週間は、口を大きく開けることはお控え下さい。・手術直後は、つっぱりを感じることがありますが、2週間程度で改善していきます。・手術当日は、洗顔をお控え下さい。・手術後3日間は、飲酒・激しい運動・サウナ・入浴など、血流が良くなることはお控え下さい。・手術後1週間(抜糸まで)は、鼻孔部位のお化粧はお控え下さい。・ケロイド体質の方は傷跡が残りやすい場合があります。
費用の提示です。下眼瞼形成術は術式によります。皮膚切除だと20万円+税で、Hamra法では40万円+税です。ブログ掲載の契約を受けてもらえたら、出演料として20%オフとなります。























