最近”直美”が話題に上がっています。直美だけでなく転科参入者も増えています。そして美容医療に携わる多くの医師は、その様な出自の危ない医師です。実は昔からの大きな問題点です。これから書く”直美”と”転科医”の話題は、私が父から伝達された歴史的見解です。その前に皆さんが知らない前提を教えましょう。医師は専門分野を深めたいのですが、大学医学部の6年間では浅い最低限の知識だけしか教えません。専門分野の知識と技術は、卒後国家試験に受かって医師の資格を得てから、現在は2年の卒後臨床研修と最低4年の専攻科目での症例経験を得て、学会認定の専門医を取得しなければ身に着けられません。研修と症例経験と学術的知識は、各学会が認定した大学病院を初めとした認定施設でしか受けられません。考えてみれば市中クリニックでは、ビジネスに忙しく適切なカリキュラムが造れません。つまり”直美”や”転科医”は美容外科・形成外科の専門知識と技術を身に着けられる訳がないのです。
欧米では20世紀前半から、戦傷外科としての形成外科が起こりました。第一次世界大戦で多くの顔面外傷者を生じたUKは王国ですから、王立医学協会が、戦勝者を治す義務が生じたから多くの形成外科医が育ったのです。本邦でも第二次世界大戦の前から、眼科医が重瞼術したり、耳鼻科医が隆鼻術をしたり、細々と行われていました。
80年前の戦後にUSAから進駐軍が上陸しましたが、軍ですから当然医師団も伴います。中には戦傷外科医が多く居て、形成外科を広めました。そして美容医療の知識と手技に於いてPlastic and Reconstructive surgery=形成再建外科とAesthetic Surgery=美容外科は同一ですから、同時に教えてくれました。折よくというか、GIにぶら下がるために、外人に受ける顔(低い鼻を高く、一重瞼を二重瞼に等々)を造る美容外科医療が利用されました。この頃はまだ、日本に形成外科はなく、東大で診療科ができたのは昭和31年ですが、標榜科目となったのは昭和51年ですから、美容医療の教育システムも確立していませんでした。
高度成長期に入ると、芸能人が多く美容医療を受けます。銀座を中心として水商売のホステスもです。日本では昭和36年に国民皆保険制度が成立する際に、自由診療に携わる医師は医学界の王道から外れました。逆に自由診療である美容整形と称して、参入者が居ました。卒後形成外科で学ばないで、美容外科クリニックや病院に就職する医師や、他科で数年研修してから転科してくる医師は、その頃から居ました。自費診療は高額な広告費用を費やす資本主義のシステムに沿っていますから、他の医師に後ろ指差されても稼げるからです。
”直美”や”転科医”の何が問題かと言えば、コンセンサスに基づく医学的見地に基づいた教育が出来ない面と、学術的な議論が為されないからです。各医療機関がバラバラの医療を行い、結果に問題が起きてもその原因が追及されないで闇に埋もれるからです。昭和51年に形成外科が標榜され学会が発足し、学術的議論が深まりましたが、昭和53年の美容外科の標榜時に形成外科医に出自を持つ美容外科学会,JSAPSと”直美”と”転科医”の美容外科学会,JSASの二つが発足しました。結果的にJSAPSは学問として美容外科を追求しますが、症例の少なさから、臨床研究できません。JSASはやはり商業主義に徹しています。
ちなみに”直美”の用語はT.クリニックの2代目が提唱した言葉です。先代は昭和40年代に昭和医大を卒後、当時は形成外科が整形外科に付属していたので、所属して、すぐ開業しました。つまり”直美”です。2代目は地元の名古屋の医大を卒業後、形成外科に所属しながら父のクリニックでも診療していました。つまり”直美”では無いのです。彼が”直美”や”転科医”を問題視している面には、私も同意します。何故なら彼は私と同じ出自だから、実は学会で仲良しです。前は学会中に並んで席に座りながら、真剣に演題を覧て聴いて、小さな声でお互いに議論していました。
何が言いたいののかと言えば、私に罹る症例の多くが、他医に罹って上手く結果が得られなかった患者さんで、その前医が”直美”や転科医”で、まともに診療していないので、私は大抵診察中に「やっぱりそうですよね?!。」と感嘆する場面が挟まります。本症例もある面その一人です。
症例は32歳女性。ブログの症例を覧て、期待されたそうです。診察途中で私も、一緒に幾つか観てみました。約10年前に当院に来院していますが、他部位です。2020年に他院で切らない眼瞼下垂手術を受けたのですが、今年初めに右側の重瞼が外れました。右眼瞼が生来三重瞼で、窪み目も伴います。窪み目にヒアルロン酸を入れたことはありますが、すぐ減って再発していました。珍しい形態ですが、軽度の先天性後葉性眼瞼下垂症が原因と考えられます。直ちにLF,Levator function 挙筋筋力(滑動距離)を測ると、確かに14㎜(正常は12㎜以上)と下限値です。ちなみに私は17㎜です。ソフトコンタクトレンズを20年間装用していて後天性後葉性眼瞼下垂症も進行している様で、患者さんも徐々に開きにくくなったと感じています。なお眼窩脂肪の量は、下眼瞼を押すと上眼瞼が膨らむ程度で判るのですが、テストすると確かに少なかったです。次に左眼にフェニレフリンテストを試行します。散瞳剤の目薬ですが、眼瞼結膜に付けると、浸透して眼瞼挙筋とミューラー筋が収縮します。先天性後葉性眼瞼下垂では筋力が無いので、開きません。対して後天性後葉性眼瞼下垂ではパチっと開きます。本症例では第一眼位(顔面正立で正面視)で約2㎜挙がりました。窪み目も浅くなります。座位に戻り、ブジーで重瞼もシミュレーションしました。患者さんは観てお悦びでした。そもそも、これまでブログに書いていたのを読んで期待されていたそうです。
さてここから迷い悩みます。患者さんは左右別々に受けたい考えでした。フェニレフリンテストしたら、右が挙がって左が敗けました。片側が挙がると反対側は”サボり”開きが落ちるのです。これを【Hering現象】と言います。患者さんも知っていました。私もこれまでブログに書いたことがあります。ですから私は診察時に「左は落ちますし、右が挙がると明らかに左右差が逆転しますよ!。」「両方必要で左右の強化度は手加減で調節した方が良いのでは無いですか?。」と告げます。患者さんは「手術したら上手く髪とかでそちら側(患側)を隠してやり過ごそうと考えていました。」と私に教えます。さらにモニター(ブログ掲載承諾で20%減価)を希望されます。私「エー、じゃあ、左右差見えるって書きますよ。」と言うも、「いいです。」と患者さん。診察終了時には、片側ずつか両側か決めないで、手術に臨みました。当日までに決めてもらいます。
手術当日右側眼瞼の手術を希望されました。右側は、このブログの為にも経過観察する3ヶ月中に、私も患者さんも観ながら検討していくことで了承されました。手術直前の診察時に、「平行型二重になりませんか?。」と訊かれましたが、私「この蒙古襞のままでは不可能です。」「目頭形成も検討しましょう。」とお願いしました。さらに患者さん「目が開くと二重は狭くなるんですよね?。」とブログに書いてある現象を知っていました。私「そうです。」「でも1〜2週間で半分戻ります。」と説明し、「だから下のライン=左右同じラインにした方が綺麗ですよ。」と説明しながらもう一度シミュレーションして、手術に到ります。
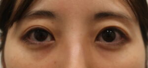
画像は両側眼瞼部と右眼瞼部近接画像で載せます。左眼瞼術後に延長して載せるかも知れません。
上には術前の両側眼瞼部図、遠近二葉です。右図の近景では寄り目になって、内側の白目が減ります。蒙古襞の為です。重瞼は左右差。開瞼は明らかに左右差あります。確かに右眼瞼を優先したい考えは解ります。
右眼瞼の近接画像。三重で、二本とも浅く、もう一度ブジーで重瞼を見ると下の線が左と揃います。閉瞼時に測っても合っています。
手術中まず、眼瞼結膜側から、挙筋を短縮固定します。瞼板に確実に刺すことが必要です。これが上手くできないから、他医で受けると、挙がらないか、すぐ元に戻るのです。一回座位で診ます。患者さんにも見せます。近接画像で観られる様に、結膜側で挙筋を前転して結紮した糸は、ぶら下がっています。ちなみに二重は、瞼縁だけが挙がった分裏側に潜っています。
挙筋短縮後座位でブジーを当てて、重瞼線を決めました。マーキングして、臥位に戻して、上の図でぶら下がっている糸を表に出して、結紮して、穴に埋めました。上右図のごとく瞼縁が隠れるぎりぎりの幅です。念を押します「術前と比べて瞼縁が、2㎜挙がったと考えられます。」画像を診て推測します。「約2週間以内に半分、つまり約1㎜は後戻りします。それで重瞼幅もデザイン通りになります。」患者さん「ですから、経過見る為に右側から受けました。」と言うから私も納得します。「左右差は上手くやり過ごしてくださいね!。」とお願いして、次回2週間後に診るのを、またお悦びいただけるのを、楽しみにします。
術後2週間で診ました。綺麗です。開瞼は後戻りしてきてちょうど良いと言って下さいました。でもまだ、重瞼は深めです。これも安心感と言って下さいました。左側もそろそろ。
パッチリクッキリでお悦び。ダウンタイムと初期の後戻りが比較的早い方です。ですから定着していると思われます。なので、もう少し落ち着いてきたら近々左側眼瞼の手術もしたくなりそうですと仰います。
術後1ヶ月です。経過は順調で、初期の後戻りも終わって止まりました。もちろんまだ右側眼瞼の方が大きく開いています。フラッシュライトの反射と瞼縁の位置関係で判ります。
もう一度末広型である点に言及されました。私はまた測ります。内眼角間距離34㎜:眼列横径26.5㎜:角膜中心間距離57㎜ですが、「顔面最大幅127㎜と小さい顔なのに目の間隔は離れ気味です。」「これは蒙古襞の被さりの為です。」と告げ「蒙古襞の拘縮があるからこの様な形にしか出来ません。目頭形成すれば平行型に出来ます。」と言いながらシミュレーションします。「この様に斜めに引き上げれば綺麗な平行型の二重瞼に出来ますよね?!。」「私の得意のZ-形成の適応です。」「目頭切開は蒙古襞切除ではなく、目頭形成以外はしてはいけません。」「非形成外科医の美容整形屋で騙されないで下さいね。」と念を押すと、患者さん「もちろんです!。こんなに良くしてくれる先生を信頼しています。」と言いながら「そろそろ左側を予定しましょうか?。」と進みます。
こうして、さらに2週間後に左眼瞼の予定を立てました。下に続けて両眼瞼を載せます。左側眼瞼の術前は右側眼瞼手術の7週間後です。後戻りは止まっています。測っている(計れない)訳ではありませんが、第一眼位で、術前と術直後の開きの差が2㎜だとしたら、その半分の1㎜戻り、その結果黒目の上が約1㎜隠れる程度が綺麗です。現在そうなっています。
右の術前に示し合わせましたが、右側の方が弱かったのですが、ちゃんと右が開いています。左より1㎜程度大きく出来ています。重瞼幅が狭くて深いのがその証拠です。Herring現象もありますから、左は右のこの程度を目標とします。でも術後早期の後戻りを考慮して、術直後はオーバーコレクション,Over correctionにします。ただし重瞼線は既存の右側と同高にします。
一見すると右側が落ちている様に見えますが、眼位の違いの様です。両眼瞼像では、右>左です。
手術法は右側と同様なので撮りませんでした。上図は術直後の遠近二葉画像です。手術プラン通りにオーバーコレクションです。後戻りまでの左右差をやり過ごすのは、患者さんは右側で経験していますから、左側も上手く遣り過ごせるでしょう。
近接画像だと差が目立ちます。左側は瞼縁の下に白目が露出しています。2ヶ月前は開瞼も重瞼の深さの左>右でしたから、調整したのですが、やはり片側ずつの手術では、Herring現象も起きますから後で施行した際の差が大きくなります。実は今回末広型を緩和するために、重瞼固定の内側を外側より0.3㎜程度上にデザインしました。目頭のすぐ外まで重瞼が見られます。
下には左側眼瞼の術後2週間、上手く日程を合わせたので右側眼瞼の術後2ヶ月です。
今回あまりにも綺麗なので、画像を拡大しました。遠景では左右とも丁度良く開いています。若干のHerrig現象はまだ観られます。そのため重瞼線はまだ左<右です。本症例の患者さんは小顔の”美人顔”輪郭で目がパッチリしたら、さらに美人度アップしていますが、顔全体を載せられない契約ですから残念です。
近景を撮る際には輻輳するので、反射的に交感神経に遠心性信号が発しられ、挙筋が収縮します。皆さんもやってみると判ります。
更に近接画像では、上の白目が見えました。つまり眼瞼挙筋の強化は初期の後戻りを加味してオーバーコレクション,over correctionしたので後戻りが終わっていないのです。上に書いた様に強化度は半量戻ります。
下には右眼瞼術後3ヶ月。左眼瞼術後1ヶ月半の画像です。
遠近には観ましょう。右眼瞼の後戻りは止まりつつあります。左眼瞼はまだ後戻りが進みました。今回は上左図の遠景の方が上右図の近景よりも信号が増えています。
あえて患者さんは「右側は元に戻っていませんか?。」と訊かれました。私「元通りでは無いけれど後戻りは多めかも?。」と言いながらこれまでの画像を観て「やはり先天性後葉性眼瞼下垂がごく軽度あった可能性がありますかね?・・。挙筋筋力も正常下限血ですもの。」「それに、左を手術してからまだ2ヶ月ですから、逆側からのHerringがまだ残っているのでしょう?。」とか、しどろもどろに説明しました。
近接画像で左眼瞼を診ます。もう上の白目は露出しなくなりました。ただし上左図よりも上右図の方が、フラッシュライトの数が増えています。撮り足す度に力の入れ方(信号)が増えているのでしょう。それでも上の白眼は瞼縁ギリギリです。しかし本症例は左右別日なのでまだまだ、変わります。実は最近やはり程度が似た片側優位の軽度眼瞼下垂症患者さんが来院されました。判りやすいので、このブログを見せたら乗り気になっていました。本症例の患者さんに感謝します。
左眼瞼術後3ヶ月、右眼瞼術後4ヶ月半の遠近二葉。毎回訊かれます。「左右差ありますよね?。」私「見えないけれど、術前と比べてこんなに揃っているのですよ。」とカルテを見直します。読者の皆さんどうでしょう?。両側眼瞼部正面像では対称的ですよね。
近接画像では輻輳して、確かに差が見られなくはないですが・・。それは右眼瞼が先天性後葉性眼瞼下垂を伴っているからと考えられます。しかも画像を経時的に診てくると。後戻りは止まっています。そこで患者さんも話題を変えて「次に何かやることありますか?。」と訊かれました。何箇所か診察しました。次に繋がるなら、美人ですから私は嬉しいです。患者さんにも「お楽しみに!。」と言って今回は「完成!。」としました。
当院では厚生労働省より改定され施行された「医療機関ホームページガイドライン」に遵守し、ブログを掲載しています。 医療法を遵守した情報を詳しくお知らせするために、症例写真・ブログに関しましても随時修正を行っていきます。
症例写真の条件を一定とし、効果だけでなく、料金・生じうるリスクや副作用も記載していきます。ブログにも表現や補足の説明を付け加えさせていただきます。
施術のリスク・副作用について:・麻酔薬にて、アレルギー反応を起こす場合があります。その場合は適切な処置を行います。・腫れは個人差がありますが、手術直後から少し腫れがあり、翌日がピークで徐々に引いていきます。目立つほどの大きな腫れは1~2週間程度です。・術後のむくみや細かな左右差の改善には、3ヶ月程度かかります。・内出血が起こった場合は完全にひくまでに2週間程度かかることがあります。・感染予防のため、抗生剤を内服していただきます。・手術直後は、つっぱりを感じることがありますが、2週間程度で改善していきます。・目頭の切開部位は、目やにがでる場所ですので、消毒にご来院下さい。・手術当日は、洗顔をお控え下さい。・手術後3日間は、飲酒・激しい運動・サウナ・入浴など、血流が良くなることはお控え下さい。・手術後1週間(抜糸まで)は、切開部位のお化粧はお控え下さい。・ケロイド体質の方は傷跡が残りやすい場合があります。
費用の説明も加えます。NILT法は消費税込みで両側で22万円。片側手術では本来55%額で12万1千円ですが、今回は後日反対側をする予定なので片側では半額の11万円とします。ブログ掲載の契約を受けてもらえたら、出演料として20%オフとなります。

































