眼瞼は加齢で落ちます。でもそこで、簡単に治療行為に至るのは素人同然です。眼瞼下垂症は原因として、前葉性と後葉性、先天性と後天性を鑑別して、医学的に治療法を選択する必要があります。美容形成外科は自費治療と保険治療がありますが、どちらも医療行為です。ですから診断と治療は直結します。併せて診療行為と言います。それには知識と経験が要ります。また機能と形態は関連します。どちらも治したいので、知識と技術と診療経験が必要です。そんじょそこらの”直美”の非医学的なビジネス的チェーン店の医師は知り得ませんし、身に着けていません。
さて医学的な鑑別診断を提示します。四つのカテゴリーに分けます。
先天性前葉性眼瞼下垂症は一重瞼の事です。これも何度も書きましたが、人類約80億人の中で、一重瞼は約10億人とマイノリティーです。約2万年前に東アジアで寒冷地適応として発生した突然変異遺伝子が、モンゴルから中国、半島を経て、日本列島にも渡来人が導入しました。この地域に蔓延しています。日本人は半数が一重瞼で産まれてきます。一言!、先天性前葉性眼瞼下垂である一重瞼は幼少時から視界不良ですから、保険診療での切開法でも、自費診療の埋没法でも重瞼術を受けるべきです。ただしチェーン店の”直美”セーケー屋は診断が稚拙なだけでなく、技術も修練していませんから避けるべきです。
先天性後葉性眼瞼下垂症は、眼瞼挙筋の筋力が不足している病態です。明らかな病状や片側だと幼少時に判りますし、角膜が隠れていると視力が発達しないので、幼少時に手術するべきです。軽症例では成長後に受診することも多く、挙筋筋力を計れば判断されます。目を閉じた位置から最上方視した位置までの距離が12㎜以下なら筋力低下と判断されます。治療法は手術しかありません。残念ながら弱い挙筋力は鍛えられません。軽度なら挙筋短縮術ですが、中等症以上では眉へ連結する吊り上げ術が使われます。
後天性前葉性眼瞼下垂症は加齢に依る皮膚、眼輪筋の伸展が本態です。必ず進行します。ただし先天性前葉性眼瞼下垂症を放置した人は、既に被さっているので視界不良という機能低下と目が小さいという形態不全が早期となります。まず患者さんに目を閉じててもらい、眉を上げない位置で術者が眉を動かない様に抑えます。次に患者さんに目を開いて第一眼位(顔面正立での水平視)で見てもらい、術者が眉を抑えた指を挙げていきます。最低瞼縁が露出する距離、できれば二重瞼が再建できる距離まで挙げて距離を測って、切除幅を探ります。前葉性眼瞼下垂症が主体なら、眼瞼形成術を重瞼線の上で切除できますし、眉下切開での切除も出来ます。
後天性後葉性眼瞼下垂症は、別名腱膜性下垂と称します。加齢というか経年変化ですが、コンタクトレンズ長期装用者には必発です。生来は挙筋筋力が正常範囲で、若年時は目をちゃんと開けていた人が、同じ力加減ではトロ〜んとしてしまうようになる状態です。ぎゅっと力をいれれば開く軽度の人から、進行すると力を入れても開かなくなっていきます。病状の本態は、挙筋が弱くなったのではなく、挙筋は下方の約1㎝は硬い腱となっていて、腱が瞼の縁にある硬い部位である瞼板から外れるか伸びて、つまり力が伝わらなくなった機能的な形態変形です。そうであれば、腱膜を瞼板に連結させれば元のように力が伝わる様に出来ます。診断ですが、フェニレフリンテストで、開けば私がその通りに出来ます。シミュレーションを兼ねています。
症例は67歳女性。瞼が重くなったとの事で9年前に初診されました。softC.L.装用歴30年の結果に因る後天性後葉性眼瞼下垂症(フェニレフリンテストも施行)と、加齢に依る前葉性眼瞼下垂症を診断しました。切らない眼瞼下垂手術=NILT法と、眉下切開手術でスッキリさせました。その後は切らない鼻翼縮小術や、スレッドリフトなどをしながら、フィラーやボトックスもしていました。6年前が最後です。同年代で何かと気持ちが通じていました。
久し振りに来院されました。聴くと、病気療養中で美容医療から離れていた様です。仕事も65歳定年で再就職して換わり、もう一度若返りを図りたい希望を抱いて来院されました。過年は私が治したので、信頼しているとも仰って下さいました。当初はまた眉下切開ではどうかと訊かれました。ですが診るとやはり、後天性後葉性眼瞼下垂症が再燃していました。コンタクトレンズも継続的に装用していたからです。また直ちにフェニレフリンテストで確認しました。フェニレフリンテストは点眼で開瞼が一時的に向上します。これで開けば腱膜進展に因る”後天性”後葉性眼瞼下垂症と診断されます。患者さんは一回迷い、眉下からではどうかと訊かれます。いつも前頭筋が収縮して、眉を、特に外側を吊り上げているのが気になるからです。そうであればやはり、それは後葉性が再発したからで、挙筋を瞼板に縫合するLT法を先行して、前頭筋への反射を止めてからが取る量が判ると説明しました。額ボトックスも併用したらさらに判り易いとも説明しました。
手術日の直前に診察と確認をしました。その際、現在のライン(一応9年前に私が既存の重瞼線より1㎜上に設定した後、眉下で広げたライン、さらに埋没で修正)よりも、若干広めの二重を希望されます。慌てて昔のカルテをめくって、どれがいつの線で、現在がどれか診てみましたが、変わってきてよく判らないのと、内側が狭いのが嫌だと仰るので、ならばやはり眼瞼挙筋を強化した状態で手術中にラインを決定しましょうとなりました。
なおボトックスも後日の眉下のためにも、同時に使用となりました。今回の切らない眼瞼下垂手術とボトックスの経過を診て、眉下の手術プランを立てましょう。現時点での予想では、眉を挙げる6㎜切除が適応と考えています。1ヶ月後ですから後段に載せます。また眉下の準備としてアートメイクを入れて来られました。
画像は経時的に供覧します。
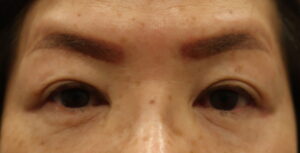
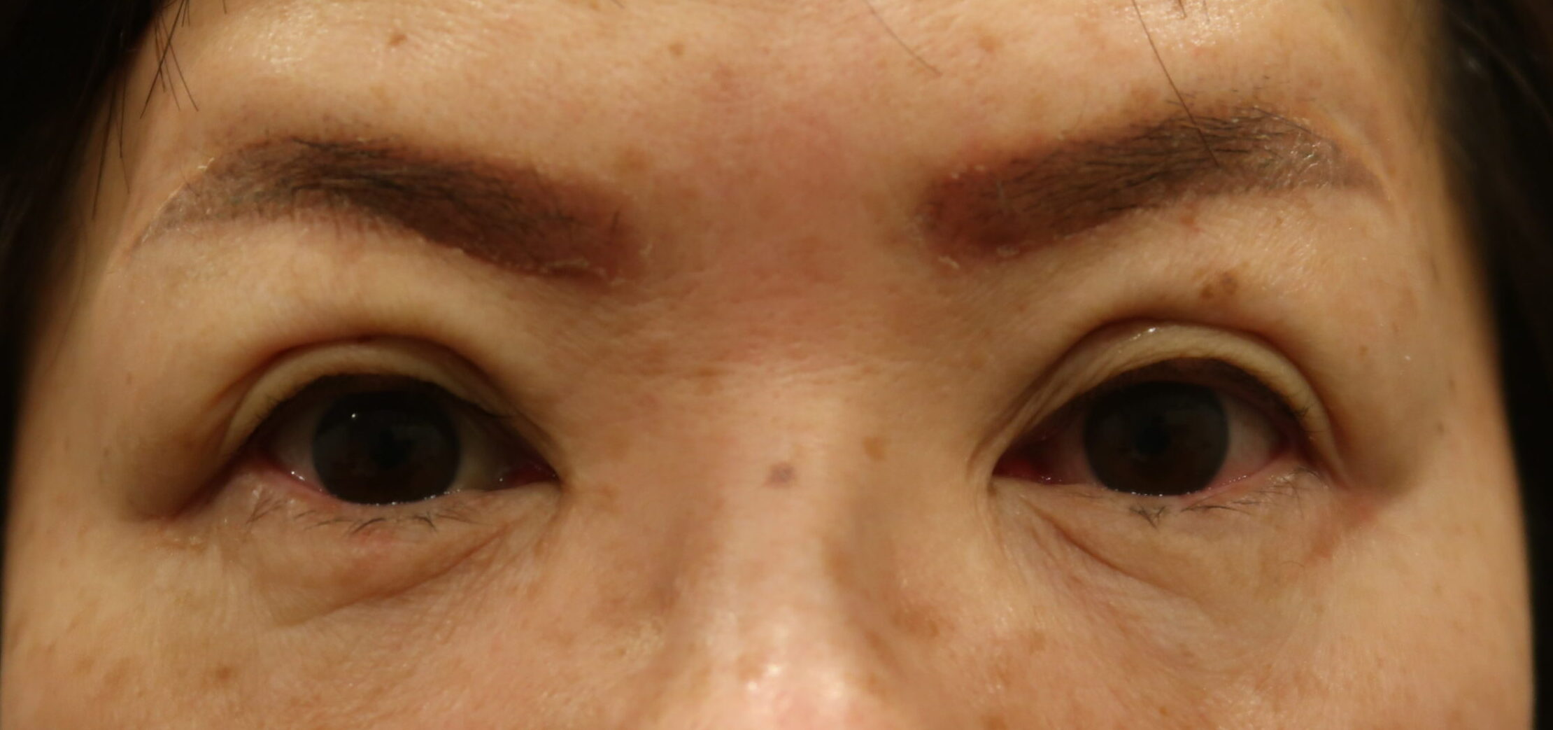
術前の遠近二葉。上左図の近景では、輻輳(近くを見る際に目が寄ること)していて、内側の白目の上に眼瞼が被さっています。
術前は近接画像でも、いわゆる平行型の重瞼を表出していません。前頭筋の収縮に依り、眉毛の外側が吊り上がっている訳で、重瞼も影響されています。
今回術中画像を撮り損ねました。眼瞼結膜側から眼瞼挙筋を縫縮した後に一度座位として、滅菌したブジー(二重棒)で重瞼線をシミュレーションして、マーキングしました。現在の重瞼線高は無緊張閉瞼時に中央で、右3.5㎜、左4.0㎜でした。シミュレーションの結果、右は2.5㎜、左は2.0㎜上に設定して、眼球カーブに沿ったラインの流れに合わせて内外2点をマーキングしました。
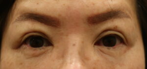
術直後の遠近二葉。まだ前額にボトックスは注射していません。NILT法は眼瞼結膜側から、眼瞼挙筋を縫縮した後に、その糸を皮膚側に通して重瞼線を設定します。
近接画像で覧られる様にもう重瞼線も作りました。平行型になりました。内側は強めに架けています。開瞼力はオーバーに強化しました。標準的には、術前と術直後の差が半分戻るからです。
さらにこの後ボトックスも注射しました。ですから今回の結果も2週間後に魅せます。
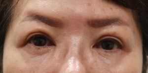
術後2週間で診ました。ボトックスが効いて、眉毛弓の上のボコリが消えて、おでこのシワもなく、眉の吊り上がり=逆八の字の動きも解消してお悦びでした。
ただし、切らない眼瞼下垂手術で瞼縁が挙がって前葉は少々の向上ですから、弛んでいます。目元が濃いです。なお、涙袋を希望されていましたが、上下とも濃くするとしつこい感じになるので、「眉下後にしましょう。」となりました。
重瞼線も広くしただけでなく、平行型になって綺麗で、開瞼も向上して若々しく出来ました。
次の眉下でさらなる改善を年末に予定します。切除サイズもプランを立てました。眉と上眼瞼縁の間のたるみが診られます。シミュレーションして見ます。閉瞼して眉が挙がらない位置で私が手で抑えます。そのまま開瞼して、一度目は患者さんに鏡を見てもらいながら私が手を離して、患者さんが反射的に眉を挙げる距離を測ります。二度目は、私が手でゆっくり眉を挙げてながら、「このくらいでさっきの感じに挙がった感じですか?。」と聴きながら距離を測ります。患者さんは右7㎜、左6㎜がちょうど良いと感じていました。なおアートメイクは眉尻を長めに描いていますから、外側を長めに多めに取っても創痕が隠れます。
眉下時は切らない眼瞼下垂手術後約1.5ヶ月です。その際も魅せます。
では年末に予定通り眉下切開(皮膚、眼輪筋切除)を施行します。術前にもう一度シミュレーションしました。すると!、取り過ぎると重瞼が浅くなってしまうことが判りました。5㎜幅切除に留めようとなりました。外側の被さりが多いので、眉尻の上を5㎜超えて撮ることになりました。下にデザインです。
遠近二葉見ます。目頭の直上と目尻の直上、その5㎜外側にマーキングしています。失念して、描いたデザインは撮り忘れました。
手術直後です。良く挙がっていますが、糸の掛かりが部分的に強く、重瞼線が引かれてジグザグになっています。
眉下で上眼瞼全体が腫脹して、重瞼の糸の点だけが凹んでいるので、凹凸となります。
術後1週間で抜糸しました。腫脹が半分引いて、重瞼線の乱れが治って来ました。
まだ腫脹があるので、上眼瞼の埋没糸の引き込みがまだ強いのですが、改善傾向です。
当院では厚生労働省より改定され施行された「医療機関ホームページガイドライン」に遵守し、ブログを掲載しています。 医療法を遵守した情報を詳しくお知らせするために、症例写真・ブログに関しましても随時修正を行っていきます。
症例写真の条件を一定とし、効果だけでなく、料金・生じうるリスクや副作用も記載していきます。ブログにも表現や補足の説明を付け加えさせていただきます。
施術のリスク・副作用について:・麻酔薬にて、アレルギー反応を起こす場合があります。その場合は適切な処置を行います。・腫れは個人差がありますが、手術直後から少し腫れがあり、翌日がピークで徐々に引いていきます。目立つほどの大きな腫れは1~2週間程度です。・術後のむくみや細かな左右差の改善には、3ヶ月程度かかります。・内出血が起こった場合は完全にひくまでに2週間程度かかることがあります。・感染予防のため、抗生剤を内服していただきます。・手術直後は、つっぱりを感じることがありますが、2週間程度で改善していきます。・目頭の切開部位は、目やにがでる場所ですので、消毒にご来院下さい。・手術当日は、洗顔をお控え下さい。・手術後3日間は、飲酒・激しい運動・サウナ・入浴など、血流が良くなることはお控え下さい。・手術後1週間(抜糸まで)は、切開部位のお化粧はお控え下さい。・ケロイド体質の方は傷跡が残りやすい場合があります。
費用の説明も加えます。NILT法は消費税込みで22万円。ブログ掲載の契約を受けてもらえたら、出演料として20%オフとなります。
眉下切開術は眼瞼下垂手術の一種ですから、保険診療です。点数で6000点×2=12000点。出来高請求で薬剤代等込みですから、3割負担で約4万円です。モニターでもこの費用をカットしてはいけないとの厚労省からのお達しですが、個人情報提供のための同意書は頂いています。つまりこのブログ提示はご厚意です。ありがとうございます。































