私に罹る患者さんの中には、数箇所の手術を立て続けに受ける人が多くいます。ありがたいことですが、多くの美容形成外科医はその場合にPolysurgeryと呼んで、好ましくないと逍遙したり批判します。ですがそれは、その場合の有用性を考えない医師の戯言です。またレパートリーの狭いチェーン店の”直美”上りの下手っぴーの嫉妬心が言わせる場合も多いと考えます。逆に余り評判が高くないから、患者さんを呼ぶのが上手くなく、余り患者さんが来なくて、手術を怖がるようになった医師も、揶揄を込めてそう言うのでしょう。
何を言いたいかと言えば、美容医療の根幹である美容形成外科分野では、形態と機能のバランスを検討しながら、進めていく必要があると言うことが重要だからです。アッ!、実はPolysurgeryとは同一部位の複数回手術を呼ぶのでした。でも直訳すると複数回手術です。それはそれとして、顔面の改良手術は、”ここを治したら、ここも”となることがあります。さらに言えば社会性が顔面の方向性に関与すると考えられます。派手目か、可愛い系か、美人系かなどに合わせるべきだからです。例えばキャバ嬢なら誰でもわかるように、方向性は自明ですよね?。また同じ経済的に余裕がある経営者でも、美容的な仕事の人とそうでない人では目標が違います。また私は、おとなしめの社会性の女性でも、高い美人性を求める人は好きなタイプです。
そのような際、一編に多箇所を手術すれば、私も患者さんもお互いに、時間的に得かとも言えますが、問題点が二つ。銀座院では手術時間が3時間45分。大阪院では3時間30分。リフトなどの長い手術は、外来診療を他医に任せて5時間45分まで用意出来ますが特別です。ですから一つずつ丁寧に手術したいと節に望んでいます。もう一つ、私の体力と知力を要するからです。私は特に、切開&縫合の手術が多く、手抜きはしないので、チェーン店系のビジネス美容整形屋の倍近くの手術時間をかけます。その為には、体力を集中して丁寧に手術する事と、知力は術前に診察と検査と計測に時間を取りますし、術中は形態を造りながらよく見て、評価しながら手術を進めますから、視能力とその後ろの脳力=知力も要するのです。
その様な訳で、いくつかの手術を順次施行してきて、毎回満足頂いてきて、さらに今回初めて眼裂横径を内外で拡大する必要性を見出して、同時に手術します。見事な結果を得られますかね?!。
症例は36歳女性。約1年半前に初診されました。カルテを見れば当初から、両眼瞼部横径を計測しています。”眼裂横径25㎜:内眼角間34㎜:角膜中心間60㎜で目頭、目尻は後で”とあります。さらに顔面に対して、”鼻が低く、顔面がフラット。鼻唇溝上三角が深く、Malarより3㎜後方にある。鼻綾(鼻背)は鈎鼻で低くないし、鼻翼幅は32㎜と小さいが、鼻尖が低く、Drooping noseであるから、軟骨移植が効果的”などと記載されています。上に書いた様に、患者さんの顔面の形態と社会的機能を検討して、一つずつ治していきました。その間目頭切開(切除ではなくZ-形成)と目尻切開を同時に施行できることを確認しています。この二つの手術はできます。
今回のこの手術がシリーズの3例目となります。顔面との比率的に眼裂が小さい。離れている。顔面の外側の余白がある。そうです。顔面幅が135㎜と大きくないが、それは身体も小柄ではないのでバランス的に丁度良いからです。画像でご覧になれる様に、部品がはっきりした方が比率的にはっきりした顔立ちになります。患者さんを診て、社会的におしのある顔立ちが似合うと言えます。そう伝えたら本人も両手を打って乗り気になりました。
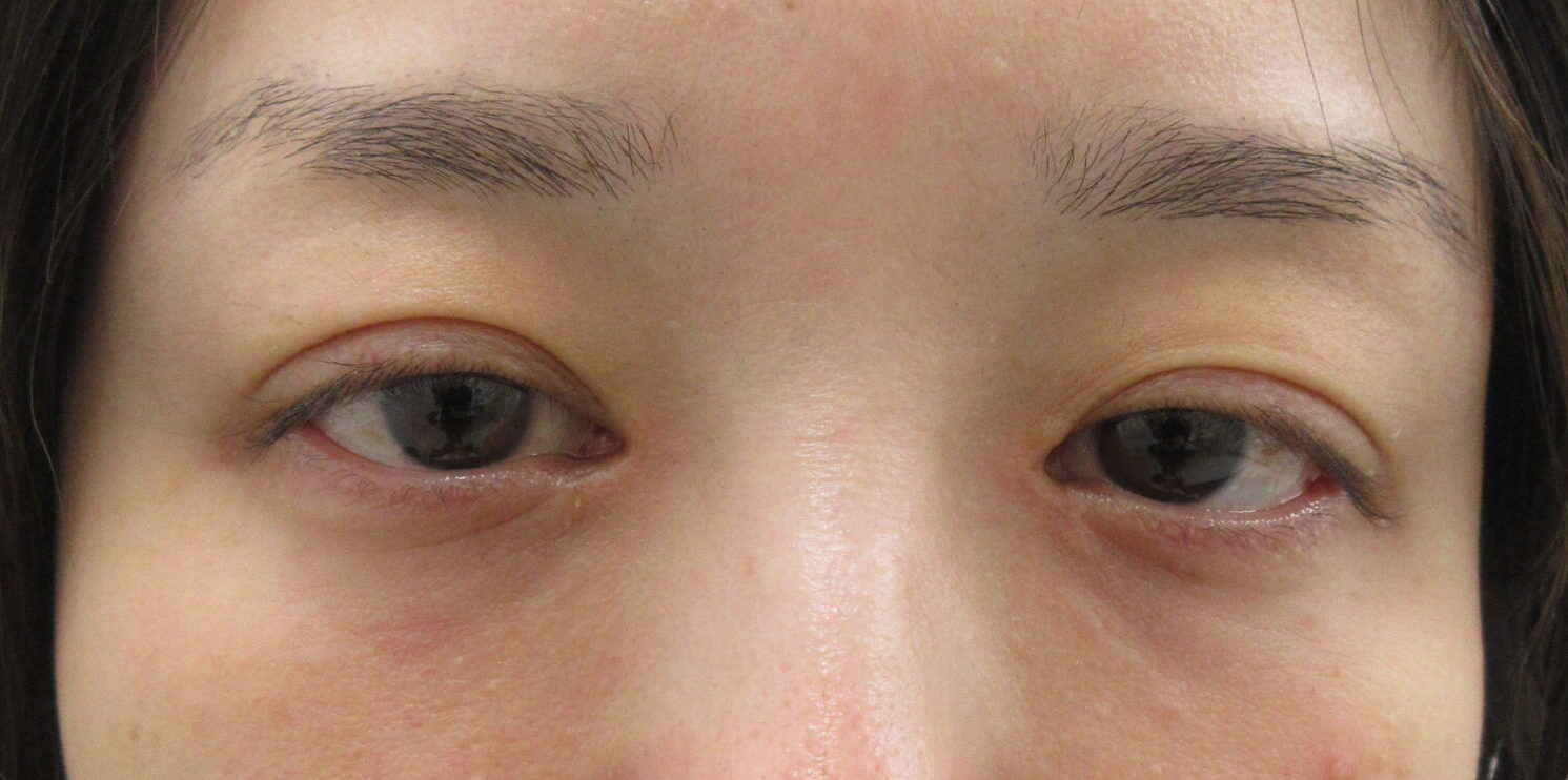
画像は両眼瞼部正面像で、術前と術中と術後を見比べてから、近接画像で手術中も観ましょう。
術前の画像。目の窓の間は、二重瞼の人にしては離れています。右図はデザイン。Z-形成法が描いてあります。目尻のデザインは水平に3㎜ですがまつげに隠れて見えません。
まず目頭をZ型に切開しました。切開後上下の三角形の皮弁(皮膚を弁状に持ち上げる)を上下の眼輪筋から切離すると、図の如く勝手に入れ替わります。
Z-形成で造られた二つの皮弁が入れ替わったら、目頭の向きも横向きになります。上下入れ替わった三角皮弁の先端を縫合して、位置を診てから各部位5~6針縫合しました。続けて上右図は目尻を切開しました。
切開部が見えないので、目尻を開いて見せます。目尻の角から水平に3㎜切開されています。眼瞼結膜もです。続けて上を縫合します。すると、Y字型になるので、瞼縁を電気メスで削り、丸くします。その後上2、下1針縫合します。これで手術終了です。
上左図は術直後。明らかに眼瞼の窓が拡大しています。上右図は手術翌日。なんと!、眼球結膜下血腫を生じました。私の経験上5例に一例程度起こります。起きると吸収に2週間程度罹ります。
上左図は術後1週間。抜糸しましたが、まだ結膜下血腫は吸収中です。上右図は術後2週間ですが、正面は吸収されました。実は下眼瞼を😛したらまだ赤く残っていました。
下には近接画像群。
近接画像では斜位でも目頭と目尻が見易い様に斜位も載せます。蒙古襞は斜めに突っ張っています。目尻は上眼瞼皮膚に隠れています。
斜位近接画像で目頭Z-形成のデザインを診ましょう。一辺4㎜の60度のZ-形成術です。下には毎回載せている机上の図を載せました。実物と対比しましょう。なお目尻にも、水平に3㎜のデザインが描いてあります。
図は左側(向かって右側)眼瞼のZ-形成の机上の線画。図の左側が術前、右側が術後。説明すると、cabとdbaの二つの三角形を入れ替えてb’d’c’とa’c’d’の三角形になります。蒙古襞の稜線abがa’b’になるのですが、sin60度×2=√3×2≒1.73倍の長さになります。4㎜の蒙古襞が約7㎜になり逆に横方向は、cdがc’d’と7㎜が4㎜となり、蒙古襞は表裏に皮膚がありますから、蒙古襞が1.5㎜退いて、両側で内眼角間が3㎜近づく計算です。
まずデザイン通りに切開しました。その後上下の三角皮弁を眼輪筋から剥離して、内眼角靭帯(正しくは腱)をムキムキにしたら、上下の皮弁は勝手に入れ替わってきました。
入れ替わった三角皮弁の先端, Flap tipを縫合しました。目頭の向きは下から上へ移動した三角皮弁の先端がイコールです。ご覧の様に横向きになりました。
続けて目尻切開を施行して、サイズを見ます。
目頭は片側5〜6針縫合しています。急に余計な話ですが、マスコミが「何針縫った。」って創の程度を説明するのは、本当に#おバーカですね‼️。創は長さと深さが程度なのですよ!!。ちなみに目頭切開では、片側で総延長4+4+4=12㎜の傷を6針縫合しています。2㎜間隔です。真皮縫合をできない部位なので細かく,Closelyに縫合します。
目尻を斜位から観ますが、赤い創があります。ここまでが目尻になっています。
手術翌日です。眼球結膜下血腫が起きました。創そのものは綺麗に癒合中です。
術後1週間です。目頭は抜糸しました。目尻は角以外を抜糸しました。右眼球の結膜下血腫はまだ吸収中です。視力に影響は来していません。
術後2週間です。結膜下血腫は吸収されました。傷跡の肥厚性瘢痕はごく軽度です。局注は不要ですが、トラニラスト内服処方はしました。目頭の位置とサイズと目尻のサイズも後戻りが少なく済みました。眼裂横径27㎜:内眼角間32㎜です。
術後1ヶ月です。肥厚性瘢痕は四徴は、肥厚軽度、発赤+、掻痒+(疼痛ー)、硬結ー、拘縮ーでした。術後3週間から起きて、6週間までに増悪しなければ軽快します。軽快を促進する為に念の為トラニラスト内服は継続しましょう。
サイズは後戻りが終わっていると考えられます。眼裂横径は術前:25㎜→手術後理論値:29.5㎜→現時点で目頭が1㎜、目尻が予想通り3㎜の半分の1.5㎜後戻りして27㎜です。内眼角間は術前34㎜→理論値(机上の図の説明参考):31㎜→現時点で肥厚性瘢痕の拘縮は軽快して32㎜となり後戻りは止まりました。
下段は術後3ヶ月での完成像です。
両眼瞼部遠近二像です。上左図の近景では輻輳(寄り目)になりますが、内側の白眼がちゃんと見えています。上右図の遠景ではカメラを避けて下方視していますが、目の窓は大きくなりました。
近接画像では創痕が目立たなくなっています。
今回側面と斜位の近接画像で創痕を覧て下さい。ほとんど解らないでしょう?。
今後のプランは先々に立てる事として、今回の手術は見事な結果を提示できました。
当院では、一昨年に厚生労働省より改定され施行された「医療機関ホームページガイドライン」を遵守しブログを掲載しています。
医療法を遵守した情報を詳しくお知らせするために、症例写真・ブログに関しましても随時修正を行っていきます。症例写真の条件を一定とし、効果だけでなく、料金・生じうるリスクや副作用も記載していきます。ブログにも表現や補足の説明を付け加えさせていただきます。
施術のリスク・副作用について:・麻酔薬にて、アレルギー反応を起こす場合があります。その場合は適切な処置を行います。・腫れは個人差がありますが、手術直後から少し腫れがあり、翌日がピークで徐々に引いていきます。目立つほどの大きな腫れは1~2週間程度です。・術後のむくみや細かな左右差の改善には、3ヶ月程度かかります。・内出血が起こった場合は完全にひくまでに2週間程度かかることがあります。・感染予防のため、抗生剤を内服していただきます。・手術直後は、つっぱりを感じることがありますが、2週間程度で改善していきます。・目頭の切開部位は、目やにがでる場所ですので、消毒にご来院下さい。・手術当日は、洗顔をお控え下さい。・手術後3日間は、飲酒・激しい運動・サウナ・入浴など、血流が良くなることはお控え下さい。・手術後1週間(抜糸まで)は、切開部位のお化粧はお控え下さい。・ケロイド体質の方は傷跡が残りやすい場合があります。
費用は、目頭形成術は28万円+消費税です。目尻切開術は28万円+消費税です。




















































