2025 . 11 . 7

私の好きな手術=眼瞼下垂手術≒重瞼術+目頭Z-形成(切除ではありません) 見事な形態と機能を造り上げられますから!。

まずは目頭切開から。目頭の蒙古襞は被さりだけではなく、拘縮を伴います。何度も書いてきましたが、拘縮解除の為にはZ-形成術が適応です。医学的に自明です。患者さんにも必ず、口を酸っぱくして強弁してきました。ところが巷間の非形成外科医が主宰し、”直美”が多く勤める、金儲け目的で、美容的素養と知識や技術を持たない、S.やT.をはじめとしたチェーン店系の美容整形屋では、蒙古襞が被さっているから二重瞼が綺麗に出来ないとされ?!•••、目頭の蒙古襞切除術を薦められます。結果は!•••、目の窓が不自然な形態となり、拘縮も解除されないから、機能的にも前葉性眼瞼下垂状態は改善しません。多くの症例では、重瞼ラインも綺麗に繋がりません。

拘縮とは皮膚や皮下組織、場合によってはその深部にある筋までが突っ張っていることです。蒙古襞は目頭部の下眼瞼から上眼瞼まで繋がっています。開瞼時に、上眼瞼は12㎜異常も動きますが、下眼瞼は3㎜以下しか動きません。ですから、蒙古襞が白目の前に被さっていると、開瞼時に突っ張って、開く力に対抗して、目の窓の内側付近は二重瞼にもなりません。それはつまり前葉性眼瞼下垂症の原因の一端となっています。ああ〜、間違えた。考古医学的には逆です。一重瞼の遺伝子と蒙古襞の遺伝子は同座(DNAが同じ)と判っています。東アジア人に蔓延る突然変異遺伝子です。約2万年前の最終氷河期に寒冷地適応で発生したと考えられています。私は眼瞼の診療時にほぼ全例計測しています。先天的に一重瞼の人と先天的に二重瞼の人の内眼角間距離(両側の目頭の間)の平均値を比べると、約3㎜の差があります。蒙古襞の差です。ですから、下にも画像上説明しますが、一重瞼を二重瞼にする重瞼術を施行する際には、一辺4㎜のZ-形成術を併用する適応であるのは医学的に自明です。強調したいのはその方が自然な形態と機能を獲得できるからです。

目頭の話を書いていたら、前葉性眼瞼下垂の話題が挟まれました。一重瞼は先天性前葉性眼瞼下垂症です。先天性疾患です。上に書いたように突然変異です。人類は約80億人です。そのうち一重瞼者は東アジア(日本人の半分+半島人の大部分⦅ご存じのように全人口の多くが重瞼術を受けています⦆と中国北方)人だけです。約10億人です。八分の一の存在はマイノリティーですから、異常性があり、先天性疾患と捉えても良いでしょう。前葉性とは皮膚眼輪筋の状態で、形態がそのように出来上がったからですが、結果的に開瞼時に目の窓の前に前葉が乗っていると視界が減る訳で、機能的低下も伴います。だから疾患であると捉えられます。

そして前葉性眼瞼下垂症の症例では、発達段階で後葉性眼瞼下垂症を併発する場合が多くあります。後葉性眼瞼下垂とは眼瞼挙筋が瞼縁を挙げる強さが落ちる事です。元来狭義の眼瞼下垂症はこちらだけを取り扱っていました。美容形成外科医療は欧米が発祥ですが、彼らは皆二重瞼者で、前葉性眼瞼下垂症は加齢では進行しますが、それは疾病と捉えてこなかったのです。もとい、先天的に一重瞼の場合、幼少時から前葉を挙げる為に額を使います。開瞼時に反射的に前頭筋が収縮して目の前に被った前葉を上げます。誰でも筋力は成長時に鍛えられ強化されます。眼瞼挙筋もです。先天性前葉性眼瞼下垂症では、開瞼時に前頭筋を使い、挙筋はサボって力を込めない人が多くいます。一重瞼者を見てたら判ります。こうして生育していくと挙筋筋力がギリギリ正常下限値となってしまう事があり得ます。ちなみに私は先天性二重瞼で、挙筋筋力は16㎜(正常値は12㎜以上)あります。一重瞼者は測ると平均値が13㎜程度です。

従って、重瞼術を施行する際には、眼瞼挙筋も前転することを併施することが多く、蒙古襞の拘縮を解除する目頭Z-形成術を併施することをお薦めしてきました。この様なロジカルな医学的知識は、ビジネス系チェーン店の”直美”医は持ちません。説明もできません。

症例は31歳女性。先天性には一重瞼ですから、前葉性眼瞼下垂症です。14年前O.クリニックと7年前T.クリニックで重瞼術埋没法を受けたが外れました。実は他の部分の美容形成医療目的で10年前から当院に罹っていて、4年前に重瞼術切開法を受ける為に他医に罹りました。手術は、他院のラインよりも2.5㎜下のラインで2.5㎜幅の皮膚切除しました。つまりライン幅は同じです。Fernandez法による重瞼固定の上に、さらにK-B-C法で、閉創時にも皮膚と挙筋を連結して癒着を図りました。その後は美容皮膚科治療で私達に罹っていました。

今月初めに内服処方の為に再診した際に、私に戻って眼瞼の再相談を受けました。経過を聴取していた際に再手術を希望されます。どうも開瞼は向上していなかった模様です。後葉性眼瞼下垂症を改善されていない様です。挙筋前転は施行されていません。前回の画像上も開いていません。前葉性眼瞼下垂症は、重瞼術切開法で止まってはいますが、切除が足りないようで、また皮膚の進展が診られます。そもそも引き込みが弱かった様です。眼瞼下垂症に対しては、もう一度重瞼術切開法と眼瞼結膜側からの挙筋前転が適応です。重瞼固定は強固に止めます。

そして、やはりもちろん、先天性前葉性眼瞼下垂症には蒙古襞の被さりと拘縮を合併していると考え、計測に進もうとしたら、患者さん「先生の目頭切開はブログで覧ました。受けたいです。」と解っている。嬉しいお言葉を下さいます。早速測ります。内眼角間(二重瞼者の平均値=33㎜)36㎜:眼裂横径26㎜:角膜中心間距離(女性の平均値=60㎜)62㎜ですから、目が離れていないのに間が遠いのは蒙古襞が被さっているからです。従って眼瞼下垂手術で目の窓の縦を拡大するなら縦横のバランスを取るために、また二重瞼にするなら自然な形態を作り上げる為にも、目頭切開(蒙古襞の拘縮解除)は一辺4㎜のZ-形成術の併施が適応と考えられます。

ラインはこれまでの幅で4.5㎜とし、切除は前回2.5㎜ですから、今回3m追加とします。4㎜のZ-形成術の上辺まで切除して、切開線は繋げられます。

画像は経時的に観ましょう。術中画像も説明します。

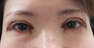
上には術前の両側眼瞼部像遠近二葉。左遠景に比べて、右近景では輻輳して寄り目になりますから、内側に白目の面積が減っています。目頭切開の効果が判り易いでしょう。正面像では涙湖が隠れています。蒙古襞が縦に突っ張っています。拘縮が強いのです。

近接画像は目頭が覗けるように斜位像にします。蒙古襞のアーチ状の被さりが見られます。

手術は予定のデザインで、術中に進行状態も載せます。

閉開二葉のデザイン画。上に書いたプランの通りです。

閉瞼時近接画像で視ると、目頭部のデザインが判ります。眼瞼切開(切除)の2本線の内側端を、目頭のZ-形成のデザインの上辺で蓋をするように繋げます。

開瞼時近接画像では眼瞼部のデザインが隠れてしましますが、そのカーブは眼球に沿った自然なラインです。ずらすと二本線になります。

使い回しの机上の図。DSC_0077

図は左側(向かって右側)眼瞼のZ-形成の机上の線画。図の左側が術前、右側が術後。説明すると、cabとdbaの二つの三角形を入れ替えてb’d’c’とa’c’d’の三角形になります。蒙古襞の稜線abがa’b’になるのですが、sin60度×2=√3×2≒1.73倍の長さになります。4㎜の蒙古襞が約7㎜になり、逆に横方向は、cdがc’d’と7㎜が4㎜となり、蒙古襞は表裏に皮膚がありますから、蒙古襞が1.5㎜退いて、両側で内眼角間が3㎜近づく計算です。

上には術直後の眼瞼部の近接斜位画像。左眼瞼の目頭部は机上の図の右側と似た創の線になっています。蒙古襞が縦に伸びています。

手術に戻ります。目頭を、デザインが消えないようにます#11knife,鋭刃(メスは蘭語)で精密に切開しておきます。続けて眼瞼部をこれもデザインが消えないうちに#15knife,円刃で皮膚だけ切開して、湾剪刀(小さくて私が使うからMory鋏と呼ぶ)で切除します。

次に目頭に戻ります。近接画像で観ます。上左図の左眼瞼の目頭部は、Z-形成術を切開後に上下の三角皮弁を、眼輪筋も一体に剥離した後です。内眼角靭帯(本来は眼輪筋の腱)から眼輪筋も切離します。図で解りますか?。皮弁が勝手に入れ替わろうとしています。目頭の位置も自動的に挙がっています。そして上右図の右眼瞼の図では左と同じ剥離操作の後、皮弁の先端だけ縫合しました。

両側眼瞼の目頭切開(形成)創は皮膚を縫合しました。左右共、皮弁先端を二針、他に各辺を合わせて三針縫合しました。そして眼瞼部に戻ります。眼瞼部の眼輪筋も同じ幅で全層をMory鋏で切除します。その後眼瞼挙筋筋膜を露出する為に眼窩隔膜を切開して、はみ出てくる眼窩脂肪を焼灼して、瞼板上縁の挙筋を露出します。上右図は切除した物。上列が皮膚で下列が眼輪筋です。

目頭部を縫合後の近接画像。縫合線は机上の図の通りです。

眼瞼形成に戻ります。眼瞼結膜側から、眼瞼挙筋を前転=瞼板に縫合固定して開瞼を向上させました。このように開いてもらい、楽に開いて、視界が広がったのを確認します。

左右二本ずつの糸を前に出して、その糸を尾側の皮膚縁に縫い着けて重瞼を固定しました。もう一度開いてもらい、幅と引き込みの強さを確認します。

上手く形態と機能が向上下のを確認したので、皮膚縫合して閉創します。

手術直後の近接画像です。やはり斜位にしました。目頭の角が挙がって涙湖の前に被さっていないのが判ります。眼瞼の重瞼線に繋がっています。

翌日診ます。

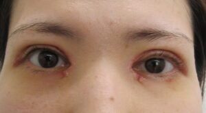
眼瞼部の遠近二葉です。上右図の近景でも白目の内側が隠れていません腫脹は亢進しています。48時間まではさらに亢進します。生体は必ずそのように反応します。

近接画像を斜位で視ると、目頭付近も腫脹して、涙湖の上に被さっています。

術後1週間で抜糸しました。

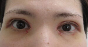
翌日のピーク時に比べて、腫脹は半量引いてきました。内出血も黄色くなり吸収過程です。

とにかくよく開いています。重瞼ラインも綺麗なカーブを描いています。Z-形成の創痕は赤く見えています

斜位像で診て、涙湖の見え具合が適当です。Z-形成の創痕線は赤く見えていますが、いつかは白い線になります。そうすれば見えなくなります。

当院では、2018年に厚生労働省により施行された「医療機関ホームページガイドライン」を遵守しブログを掲載しています。

医療法を遵守した情報を詳しくお知らせするために、症例写真・ブログに関しましても随時修正を行っていきます。症例写真の条件を一定とし、効果だけでなく、料金・生じうるリスクや副作用も記載していきます。ブログにも表現や補足の説明を付け加えさせていただきます。

施術のリスク・副作用について:・麻酔薬にて、アレルギー反応を起こす場合があります。その場合は適切な処置を行います。・腫れは個人差がありますが、手術直後から少し腫れがあり、翌日がピークで徐々に引いていきます。目立つほどの大きな腫れは1~2週間程度です。・術後のむくみや細かな左右差の改善には、3ヶ月程度かかります。・内出血が起こった場合は完全にひくまでに2週間程度かかることがあります。・感染予防のため、抗生剤を内服していただきます。・手術直後は、つっぱりを感じることがありますが、2週間程度で改善していきます。・目頭の切開部位は、目やにがでる場所ですので、消毒にご来院下さい。・手術当日は、洗顔をお控え下さい。・手術後3日間は、飲酒・激しい運動・サウナ・入浴など、血流が良くなることはお控え下さい。・手術後1週間(抜糸まで)は、切開部位のお化粧はお控え下さい。・ケロイド体質の方は傷跡が残りやすい場合があります。

費用は、眼瞼下垂症の診断が得られれば保険診療です。3割負担は約5万円(出来高請求です。)です。目頭形成術は角膜に掛かる程でないと保険は適用出来ません。自費で28万円+消費税です。