2026 . 4 . 26

これまでは埋没法=MT法で前葉性眼瞼下垂を治していました。後天性後葉性眼瞼下垂が進んできましたから、埋没法=NILT法で治します。

今回急にモニターとなり、ブログ掲載を承諾いただきました。大阪院出張前で忙しかったので、写真撮影を最小限としました。でも術前術後の結果はシンプルによく判ります。ですから今回は、尺を足す為ではなく、医学的な話を詳しく書きます。読むと私にかかりたくなるかも知れません。来院をお持ちしています。

その前に、私は何回も他医に苦言を呈してきました。患者さんにも説明していて理解が進まないと、声を大にすることもありました。医療では診察に依る治療法の選択は多岐に渉ります。ましてや多様な患者さんを相手にする美容医療では、さらに細かく検討することが要求されるはずです。なのに”直美”に代表される、ビジネス系非形成外科で経験浅い美容整形屋は、診療手段が稚拙で、テキトーで、どの患者さんにも同じ治療法を薦めます。ですから、結果の良し悪しがマチマチなのは当然となります。

眼瞼下垂症手術は色々あります。診察、検査、説明の上、患者さんの社会性や都合を勘案して選ばなくてはなりません。ところで治療法ですが、手術しかないのはみなさんお解りでしょう?!。さてまず眼瞼下垂症を、診察の上いくつかのカテゴリーに分けます。先天性と後天性。前葉性と後葉性の組み合わせで四通りです。先天性と後天性の鑑別には、患者さんに聴くアナムネ(病歴)が第一ですが、検査も補助となります。前葉性とは眼瞼は薄い葉っぱみたいなので、そのうちの前の部分=皮膚、眼輪筋の性状を言います。後葉性と眼瞼の後側=眼瞼を開く眼瞼挙筋の性質と眼窩脂肪のヘルニア状態を言います。

なお眼瞼の下垂度は第一眼位での診断がまず行われます。第一眼位とは顔面を正立(細かく言うとフランクフルトラインが水平ですが、だいだいで可)して正面しした時の眼瞼縁の位置です。上方視や下方視を検査する場合もあります。なお眼瞼下垂者は、開瞼時に反射的に前頭筋が収縮して眉を挙げるようになります。自分では見えませんが、開閉時に眉を触れてみれば判ります。診察時は私が眉を抑えて動かないようにする状態と、私が指を離して眉を挙げてもらう位置を使い分けて検査します。

先天性前葉性眼瞼下垂とは、一重瞼のことです。一重瞼は遺伝性ですが本来は約2万年前に東アジアで発生した突然変異です。シベリアかモンゴルから中国→韓半島を渡って日本に渡来人が齎し蔓延しました。日本人は南方からきた人種と北方から来た渡来人の混血ですから、古来二重瞼と一重瞼は半数ずつ存在します。ちなみに現在人類は約80億人ですが、一重瞼者は東アジア人だけに存在しますから、約10億人とマイノリティーです。やはり異常範囲です。ちなみに一重瞼とは第一眼位で瞼縁より前葉が下にある機能的形態です。奥二重は同高、二重瞼では前葉が上です。

後天性前葉性眼瞼下垂とは、加齢で前葉が伸びてきて、第一眼位で瞼縁に被さってきた状態です。一重瞼者でも眉を上げて生きてきたから挙がっていたのが、加齢で限界を超えます。二重瞼者でも加齢には抗えません。眼瞼の皮膚は身体中で一番薄いので伸びます。第一眼位で眉を挙げないと瞼縁よりしたとなったら、立派な後天性後葉性眼瞼下垂症です。昔は老人性眼瞼下垂症と称していました。ちなみに私は生下時から二重瞼でしたが、後天性前葉性眼瞼下垂症となっています。実は誰でも必発です。程度問題です。

先天性後葉性眼瞼下垂症とは、生まれつき眼瞼挙筋の筋力が低下している先天性異常です。遺伝性の場合もありますが、孤発性が大多数です。正常と異常の境界は挙筋々力が12㎜ですが、新生児では測れません。診て判断します。現代では通常産科医で出産しますから、目が開く産後数日には、医師が診て判明しますから、専門医(形成外科医が主流、過去には眼科医)にコンサルトします。私も過去に民間病院の形成外科・美容外科で診療していた際に生後直ちにコンサルトされ、1歳時に手術していました。皆さん結果を得られて喜んでいます。成長後にお礼を言いに訪ねてきた患者さんも居ました。なので、成長後まで放置された患者さんは少ないのですが、二つ。地方出身者で医療が貧困だった為放置された患者さんと、治療法が稚拙で後戻りした患者さんが数人美容形成外科を標榜している当院に罹り、私が治して差し上げています。

後天性後葉性眼瞼下垂症は、筋力が正常でも、眼瞼挙筋の挙上力が瞼縁に伝わらなくなる病態です。眼瞼挙筋の下方の約1㎝は腱となり、瞼縁の固い瞼板(瞼の縁を横につまむとコリコリしている板)に停止(コラーゲンで癒合)しています。加齢で腱が薄くなって伸びる人も居ますが、多くはコラーゲンに依る癒着が伸びています。患者さんを開けてみると、本来腱はボール紙のように硬い物ですが、下方で伸びた癒合部がビニール袋みたいに伸び縮みする膜になっています。眼瞼挙筋が収縮しても伸びる膜は、瞼板に挙上力が伝え切れません。伸びるだけである程度は力が伝わるので一生懸命開けば生活できますが疲れます。実は眼精疲労と称する病状のうち多くは、後天性後葉生眼瞼下垂症だと考えられます。

さて四つの病態に対する治療法です。

一重瞼である先天性前葉性眼瞼下垂症は、重瞼術の絶対適応です。幼少時でも受けるべきですが、子供に対して切開法は、全身麻酔を要するのでお薦めしません。全身麻酔では開瞼時の形態と大きさが術中に見られないので、大人でもお薦めしません。埋没法は当院ではMT, Muscle Tacking法と呼びます。眼瞼結膜側の瞼板の上縁から皮膚(薄い真皮)の裏側を糸で繋ぎます。切開法は保険診療ですが、腫脹と内出血は多くの症例に起き、約2週間のダウンタイムを要します。埋没法は自費ですが、多くは翌日から困ることもなく過ごせます。

後天性前葉性眼瞼下垂症は、そのメカニズムからして、伸びた皮膚と眼輪筋を切除するしかないです。先天性前葉性眼瞼下垂症である一重瞼者は二重瞼にするだけでもある程度改善します。切除部は眼瞼の重瞼線の上を帯状に取るのが定番ですが、眉下で切除する方法もあります。眼瞼では重瞼線の再建ができますし、後葉性も同時に治せますが、眼瞼部が必ず腫れます。眉下では腫れは軽いのですが、ゼロではありません。ただし創を当初から眼鏡で隠し易いのは眉下です。

先天性後葉性眼瞼下垂症は、従来教義の眼瞼下垂症とされていましたが、現在は前葉性も眼瞼下垂症として取り扱っています。上に書いた様に、新生児期に見出され、角膜(黒目)の中心が露出しない中等度以上の症例は、子供は見ないと視力が発達しないので、乳児期に手術しなければなりません。全身麻酔となりますので調節が難しく、専門家が執り行うべきです。手術法は自家組織の腱か人工腱で眉上と瞼板を繋ぎます。常に眉を挙げて目を開いて弱い眼瞼挙筋の挙上力を補助させることで開くようになる手術法です。成人後にも適応されます。

後天性後葉性眼瞼下垂症は腱膜性ですが、メカニズムからして腱を瞼板に付着させることが求められます。従来の軽度先天性眼瞼下垂症に対する手術は、眼瞼挙筋を短縮するものでしたが、腱膜性に対しては修復手術だけで効果が得られます。ですから二つの方法が使えます。一つは皮膚側からの展開で眼瞼挙筋を露出して、直接縫い着ける方法です。当然侵襲が多いので、前葉性を伴って皮膚切除を必要とする症例に使います。もう一つは眼瞼結膜側から眼瞼挙筋腱膜を瞼板に縫い着ける方法です。ただしこの方法は、術者も対象物を直視できないので、手探り=感触で腱膜に糸を掛ける訳ですから、経験に基づく技術を要します。私は得意ですが、他院や他医がちゃんと掛けていないですぐ後戻りした症例がよく私を訊ねてきます。ちゃんと掛ければ、挙筋修復の効果は後戻りしません。当院では切らない眼瞼下垂手術、黒目(露出)形成=NILT, Non Incisional Levator Tacking法としてみなさんに喜ばれています。この場合挙筋々力計測で低下していると適応になりません。フェニレフリンテストで挙筋の一部のミューラー筋の力を一時的に強化できる症例は、適応になります。シミュレーションとしても有用です。診察室でフェニレフリンの目薬を差して開くと、私は「切らない眼瞼下垂手術でこのようにします。」と告げます。多くの患者さんは直ちに「これすご口良いですね。早く手術やってやって!。」と期待に胸を高まらせます。今回もその段取りでしたが、当日することになるとは意外でした。

症例は63歳女性。17年前に初来されています。当初はエステ的な皮膚表面の美容医療を受けていました。私にも罹っています。15年前に突然MT法を池田先生が施行して、一重瞼から二重瞼へ変えました。その後は注射や注入治療に定期的に来院されていました。私が診ています。MT法は5年後に皮膚が伸びて、私が再手術しています。追加修正も施行しました。再来は続けて下さっていました。1年後にも1点追加修正しました。7年前から一昨年はなぜか来院がありませんでした。’24年に久しぶりに再来され皮膚のエステ系美容医療や注入療法を受けていました。診療は私が継続していました。7月に埋没法重瞼術=MT法で追加修正しています。その後もLASER治療やピーリング等のエステ的治療のために定期的に来院されていました。

なぜ今回突然埋没法を施行したのかは、カルテ上は不明ですが、来院前の電話予約時に、埋没法なら当日手術が出来ないか問い合わせてます。私はその予約表上の但し書きを読み落として、当日診察致しました。カルテから転記します。”これまで数回、重瞼術埋没法=MT法を施行してきました。私『MT法では前葉は皮膚、眼輪筋を挙げてきました。』と説明しました。『これまでは後葉性眼瞼下垂は目立つ低下がなく、挙筋強化はしてきませんでした。』でも今診ますと、『瞼縁が挙がりにくくなり、後葉性眼瞼下垂が疑われます。眉もあがっています。』と私が伝えれば、患者さんも『私も感じていました。』そうです。ここでフェニレフリンテストを提案しました。看護師が『散瞳するから2時間は運転は危険です。』と訊くと、患者さん『でしたら午後の手術後なら大丈夫でしょ?。』と答えました。ここで私、“患者さんは午前に診察して、午後に手術のつもりだったのだ!。本当?“と気づきました。看護師に『そうなの?』っと訊くと『2時間経ったお昼後から手術したら先生も大阪行かれるよね!。』と計ったような答えをくれます。直ちにフェニレフリンテストを施行して、鏡で見せたら患者さん『これこれ、やってください。』ともう手術したような気でした。診断の補助とシミュレーションの効果は的面でした。さらにその開瞼でブジーを当てて、ラインはこれまでの幅で良いか診て決めました。

急にブログ掲載が決まったので画像は少ないですが結果は覧られます。

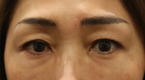
術直前の両眼瞼部遠近(左近景、右遠景)二葉。前葉はこれまでの重瞼術埋没法=MT法の一部が外れていて、皮膚も進展しています。瞼縁は皮膚の影に隠れていて位置が不明ですが、左フェニレフリンテスト後皮膚を退けたら見事に挙がったので、落ちていた証拠です。幸いにしてフェニレフリンテストは2時間以内で効果が切れます。手術まで約2時間待ちましたから手術効果の左右差は生じないはずです。画像では黒目の上に映るフラッシュに左右差が見られますが・・・。

術中は画像を得られませんでした。術直後の両側眼瞼部遠近画像です。遠景では明るく写り、目がキラッと開きました。近景ではやや下方視ですが、白目の中に黒目全部が浮いて見られます。

術直後に鏡で見せたら患者さんはお喜びでした。

術直後の両側近接画像です。NILT法とは後天性後葉性眼瞼下垂を、眼瞼結膜側で挙筋修復して治し、その糸を皮膚側へ引き出して重瞼を再建する手技です。私としましては、挙筋を術前と術直後の差の半量は後戻りすると、経験上知っていますから、丁度よくなるようにオーバー, Over Correctionに挙げました。1週間以内に丁度よくなります。重瞼幅はこれまでにMT法で造っていたラインですが、前葉の引き挙げが弱くなっていたので、くっきりと再建しました。

術後2週間目には診せてもらう事をお願いしています。丁度良い形態と機能を魅せて下さることでしょう。お楽しみに!。

上左図は遠景。目を見開いてくれました。開き過ぎではありません。上右図は近景。カメラレンズを見てもらうと輻輳(目を寄せる)しますが、しっかり開いています。

近接画像でも腫脹が軽快して、内出血も起きなく、日常生活に支障を来さなかったそうです。

術後1ヶ月です。上左図の遠景ではギロっと見て写ってくれました、上右図の近景では見つめられました。どちらにしてもパッチリ開いて若々しく診せて下さいます。

近接画像でも綺麗な重瞼線で、開瞼も黒目の上が1㎜も隠れていません。

当院では厚生労働省より改定され施行された「医療機関ホームページガイドライン」に遵守し、ブログを掲載しています。 医療法を遵守した情報を詳しくお知らせするために、症例写真・ブログに関しましても随時修正を行っていきます。

症例写真の条件を一定とし、効果だけでなく、料金・生じうるリスクや副作用も記載していきます。ブログにも表現や補足の説明を付け加えさせていただきます。

施術のリスク・副作用について:・麻酔薬にて、アレルギー反応を起こす場合があります。その場合は適切な処置を行います。・腫れは個人差がありますが、手術直後から少し腫れがあり、翌日がピークで徐々に引いていきます。目立つほどの大きな腫れは1~2週間程度です。・術後のむくみや細かな左右差の改善には、3ヶ月程度かかります。・内出血が起こった場合は完全にひくまでに2週間程度かかることがあります。・感染予防のため、抗生剤を内服していただきます。・手術直後は、つっぱりを感じることがありますが、2週間程度で改善していきます。・目頭の切開部位は、目やにがでる場所ですので、消毒にご来院下さい。・手術当日は、洗顔をお控え下さい。・手術後3日間は、飲酒・激しい運動・サウナ・入浴など、血流が良くなることはお控え下さい。・手術後1週間(抜糸まで)は、切開部位のお化粧はお控え下さい。・ケロイド体質の方は傷跡が残りやすい場合があります。

費用の説明も加えます。NILT法2点は消費税込みで220000円。MT法3点は消費税込みで132000円。ブログ掲載の契約を受けてもらえたら、出演料として20%オフとなります。